Primaire hersentumoren
Snelkeuzemenu op deze pagina:
Glioom, Ependymoom, Meningeoom, Adenoom of Craneofaryngeoom, Angioom, Medulloblastoom, Pijnappelkliertumor en Brughoektumor of Vestibulair Schwannoom
Primaire hersentumoren zijn gezwellen die uit het hersenweefsel zelf zijn ontstaan en niet een uitzaaiing zijn van een gezwel elders in het lichaam.
De klachten variëren en hangen af van de plek in de hersenen en de groeisnelheid, en omvang van de tumor, het type of soort hersentumor.
De hersenen sturen alles in het lichaam aan. Dus naast de specifieke klachten van een tumor kunnen er allerlei verschijnselen in het lichaam.
Veel gehoorde klachten zijn:
- Epileptische aanvallen
- Hoofdpijn
- Hoge hersendruk
- Misselijkheid
- Duizeligheid
- Veranderingen in het cognitief functioneren (denken, geheugenproblemen of trager worden in het denken, moeite met de executieve functies etc)
- Veranderingen in gedrag: verwarring, psychose, ontremd gedag
- Veranderingen in het gevoelsleven/emoties: depressie, boosheid, stemming.
- Uitvalsverschijnselen Dat kunnen halfzijdige klachten zijn als halfzijdig krachtsverlies of halfzijdige verlamming links of rechts.
- Verandering in de motoriek
- Spraak- of taalstoornissen
- Veranderingen in het zien /visuele klachten
- Veranderingen in geur en smaak
- Slikstoornissen
- Veranderingen in het gehoor
- Veranderingen in de hormonen
Verschillende vormen hersentumoren
Tumor van het hersenweefsel (Glioom)
Bij veel volwassenen is een primair hersentumor vaak (15-20%) een glioom, voortkomend uit glia-cellen, de steuncellen van het hersenweefsel.
Gliomen worden onderverdeeld in de graden van kwaadaardigheid I-IV. Laaggradig I en II langzaamgroeiend en III en IV hooggradig en kwaadaardig. Hoe meer tumorcellen per vierkante centimeter gevonden worden, hoe hoger de gradatie.
Verder zijn gliomen onderverdeeld op basis van het soort gliacellen waaruit ze ontstaan.
De WHO (Wereldgezondheidsorganisatie) heeft een classificatie van tumoren van het centrale zenuwstelsel opgesteld die sinds 2016 wereldwijd gebruikt wordt.
De belangrijkste soorten gliomen zijn:
- astrocytomen, komen uit stervormige cellen (astrocyten) voor en komen het meeste voor. Astrocyten zijn steuncellen.
- Graad I: pilocytair astrocytoom (juvenile pilocytic astrocytoma)
- Graad I: cerebellair astrocytoom
- Graad I: desmoplastic infantiel astrocytoom
- Graad II: diffuus astrocytoom (laaggradig of graad 2 astrocytoom)
- fibrillary
- gemistocytic
- protoplasmic astrocytoma
- Graad III: anaplastisch astrocytoom
- Graad IV: gliobastoma multiforma (astrocytoom klasse IV of GBM 4)
- astrocytoomklasse IV-primaire
- novo en secundaire
- Graad V: Subependymale reuscel-astrocytoom
- oligodendrogliomen (externe link) komen voort uit oligodendrocyten, de isoleerlaagcellen
- hersenstamglioom
- ependymomen komen voort uit ependymcellen die de binnenwand bekleden van de hersenholtes/ventrikels waar het hersenvocht door stroomt. Deze tumoren zijn vrij zeldzaam.
Ependymoom
Een ependymoom is een hersentumor die ontstaat in de ependymcellen. Deze hersencellen bekleden de binnenkant van de hersenholten (ventrikels) en het centrale kanaal van het ruggenmerg. Daardoor komen ependymomen ook in het ruggenmerg voor. De oorzaak kan een fout in het DNA zijn van die cellen die de bekleding van de hersenholtes vormen.
Het kan ontstaan in de grote hersenen, de kleine hersenen of het wervelkanaal.
Klachten hangen daarom af van de plaats waar de tumor zit en kunnen zich uiten in:
- hoofdpijn,
- pijn elders,
- duizeligheid,
- misselijkheid of braken,
- epileptische aanvallen,
- scheel kijken,
- slik- of spraakproblemen,
- krachtsverlies in armen of benen of in het gezicht,
- gevoelsstoornissen in armen of benen,
- problemen met lopen of plassen.
Deze tumorvorm verspreidt zich soms via het hersenvocht en kan zo uitzaaiingen veroorzaken.
Bij kinderen komt deze vorm van tumor voor bij 1 op de 400.000 kinderen. De patiënten zijn meestal jong. Een derde is jonger dan twee jaar. Bij heel jonge kinderen kan een waterhoofd (hydrocephalus) een van de klachten zijn, omdat de tumor een opstopping van de stroom van het hersenvocht kan veroorzaken.
Bij pubers en jongvolwassenen komen ependymomen meer voor in het ruggenmerg.
Bij volwassenen ontstaat meer dan de helft van de ependymomen in het wervelkanaal.
Een ependymoom kan volgens de classificatie van de wereldgezondheidsorganisatie WHO, voorkomen in graad I, II of III.
Meer info https://hersentumoren.info/hersentumor/soorten-tumoren/ependymomen
Tumor in de hersenvliezen (Meningeoom)
Hersenvliezen worden ook wel meninges genoemd. Een tumor daar, meningeoom, kan overal voorkomen waar zich hersenvlies bevindt:
- rond de hersenen en ruggenmerg
- tussen de hersenen in waar het een tussenschot vormt
- aan de onderkant van de schedel
Een tumor in de hersenvliezen is een langzaam groeiende en 'relatief goedaardig' tumor; de verschijnselen ontstaan even langzaam en sluipend.
Omdat deze tumoren gevoelig zijn voor hormonen, komen meningeomen vaker voor bij vrouwen dan bij mannen.
Er bestaat ook een zeldzame kwaadaardige vorm van deze tumor waarbij 5-7% daarvan de neiging heeft om de hersenen in te groeien en om op meerdere plekken in de hersenvliezen terug te komen.
Bij 1-2% is er sprake van een echt kwaadaardige vorm die uitzaait. Een meningeoom kan hersenweefsel verdrukken en zo schade aanrichten en klachten geven, maar deze tumoren groeien niet door ín de hersenen. De klachten die een meningeoom geven zijn afhankelijk van de locatie van de tumor.
De klachten kunnen functie-uitval, epilepsie en gedragsveranderingen omvatten.
Tumor in de hypofyse (Adenoom of craniofaryngeoom)
Een craniofarygeoom is een zeldzame en goedaardige tumor. Goedaardig in de zin dat deze niet verspreidt (uitzaait) naar andere delen van het lichaam.
Tijdens de ontwikkeling tot hypofyse kunnen cellen achterblijven en zich ontwikkelen tot een tumor.
De klachten van een craniofarygeoom zijn afhankelijk of de tumor ín (sellair) of boven (suprasellair) het 'turkse zadel' liggen. Het turkse zadel is een anatomische structuur die zich bevindt zich aan de basis van de schedel. Een hypofysetumor kan ook in de wiggebeenholte (sfenoïdaal) of in de neus-keelholte (nasofaryngeaal) liggen. Ook belangrijk is het voor het klachtenbeeld of de tumor bijvoorbeeld tegen de hypothalamus of oogzenuwen of hypofyse zelf drukt.
Klachten van een tumor in de hypofyse of craniofaryngeoom kúnnen zijn:
- hoofdpijn
- wazig zien
- dubbel zien
- soms slechtziendheid of blindheid, (druk op de oogzenuwen)
- een tekort aan hormonen
- vermoeidheid
- slecht herstellen van vermoeidheid
- gewrichtsproblemen
- uitblijvende puberteit
- problemen met het gewicht
- eetstoornissen
- problemen met de vetstofwisseling
- problemen met de hartfunctie.
Hypofysetumoren kunnen ook de oorzaak zijn van het doorgroeien van lichaamsuiteinden en organen (acromegalie) en van een levensgevaarlijk tekort aan het stresshormoon cortisol (addisoncrisis).
Ook tumoren in de omgeving van de hypofyse kunnen op de hypofyse zelf drukken en zodoende de functie verstoren. Aangezien de oogzenuwbanen (optisch chiasma /chiasma opticum) vlak bij liggen kunnen door druk op die zenuwbanen visuele klachten zoals hemianopsie (gezichtsvelduitval) veroorzaakt worden.
Boven de tumor kunnen de hersenholtes verwijd zijn doordat het hersenvocht moeilijk afgevoerd kan worden.
Ook een operatie (een transsfenoïdale neurochirurgische ingreep) bij een hypofyseaandoening kan schade toebrengen aan één van de hersenzenuwen die de oogspieren aansturen. Bijvoorbeeld bij een Pituitary NeuroEndocrine Tumor (PitNET). Dan kan er een blikverlamming ontstaan na de operatie. Er is dan sprake van een onvermogen om met beide ogen naar een bepaalde kant te kijken
Als de tumor op de hypothalamus drukt kan dat het hypothalamus syndroom veroorzaken. Afhankelijk van welk gebied in de hypothalamus getroffen wordt kan dat gevolgen hebben als eetstoornissen, slaapstoornissen, problemen met de vochthuishouding, temperatuurregulatie en seksuele functies.
Lees het ervaringsverhaal van Mariska met acromegalie door een tumor op de hypofyse.
De onderstaande afbeelding uitgelegd:
Het roze gedeelte op de afbeelding is de hypofyse.
Lichtroze = de hypofysevoorkwab (anterior lobe) . Donkerroze is de hypofyse achterkwab (posterior lobe).
Lees meer over de hypofyse en over uitgebreidere klachten veroorzaakt door een aandoening van de hypofyse:
Hypofyse ↑
Video over een hypofysetumor /craniofaryngeoom
Tumor in de bloedvaten (Angioom)
Een tumor in de hersenbloedvaten is meestal goedaardig, en een rood tot paars bloedvat-gezwel dat ontstaat door verwijding en/of kronkeling van bloedvaten, zoals een kluwen van spataders.
- aardbei-hemangioom (of infantiel hemangioom)
- caverneus hemangioom
- lymfangioom
- stervormig hemangioom
- wijnvlek
Medulloblastoom (PNET)
De tumor medulloblastoom ligt, zoals de naam aangeeft, bij de medullo oblongata (verlengde merg), een gedeelte van de hersenstam. Doch meestal in de vierde hersenholte (ventrikel).
Blastoom staat voor voorloper van hersencellen. Deze cellen hadden zich moeten ontwikkelen tot hersencellen. Daarom komt deze tumor voornamelijk voor bij kinderen.
Slechts 10-20 keer per jaar wordt in Nederland de diagnose bij volwassenen gesteld. Een medulloblastoom is een kwaadaardige hersentumor.
Een medulloblastoom is een tumor die valt onder de groep PNET tumoren, dat is een afkorting voor Primitieve Neuro-Ectodermale Tumor.
- Primitieve = bestaande uit voorlopercellen in een fase waarin een ongeboren kindje gevormd wordt.
- Neuro = primitieve cellen die zich hadden moeten ontwikkelen tot hersencellen, maar dat om een of andere reden niet hebben gedaan.
- Ectodermaal = voorlopercellen van ectodermweefsel. Daaruit ontstaan weefsels als hersenen en de huid.
- Tumor = gezwel.
Klachten bij een medulloblastoom kunnen zijn:
- Klachten van een hydrocefalie/ waterhoofd, omdat het hersenvocht niet goed kan afvloeien doordat de tumor meestal in de vierde hersenholte (ventrikel) zit. Dat kan hoofdpijn geven, dat vaak gepaard gaat met misselijkheid en braken.
- Verhoogde druk in het hoofd wat druk kan geven op de ogen, waardoor iemand wazig kan gaan zien.
- Nystagmus, schokkerige oogbewegingen komt bij een deel van de mensen voor.
- Klachten van het zien, scheelzien of dubbelzien door druk op de 6e hersenzenuw.
- Balansproblemen en dronkenmansloop. De tumor zit vlakbij het gedeelte waar de balans geregeld wordt: de kleine hersenen. De dronkenmansloop die dan kan ontstaan heet in medische termen ataxie.
Lees meer over medulloblastoom via deze link.
Of via deze link: Medulloblastoom en PNET
Pijnappelkliertumoren
Zie alle uitleg op de speciale pagina
- Pijnappelparenchymale tumoren Graad II+ III
- Pineoblastoom /pinealoblastoom Graad IV Blastoom staat voor voorloper van hersencellen. Deze cellen hadden zich moeten ontwikkelen tot hersencellen. Daarom komt deze tumor voornamelijk voor bij kinderen.
- Papillairtumor Graad II + III
- Pijnappelkliercyste of pinealiscyste Goedaardig
- Papillairtumor Graad II + III
- Pineocytoom of pinealocytoom Graad I is een goedaardig langzaam groeiende tumor en komt uit de grote cellen van het pijnappelparenchym. Een pineocytoom behoort tot de pineale parenchymale tumoren maar is de minst agressieve vorm.
Het kan afwijkingen aan de oogbeweging en aan de pupil geven. Moeite met omhoogkijken, met het syndroom van Parinaud. Dat wil zeggen oogschokjes als iemand om hoog probeert te kijken (convergentie-retractie nystagmus), hoofdpijn, problemen met het evenwicht, incontinentie en wisselingen in de stemming.
Hersencyste
Een hersencyste is een met vocht gevulde holte in de hersenen. Omdat de schedel niet kan uitzetten als de cyste groeit, kan er druk komen te staan op het hersenweefsel = verhoogde hersendruk.
Verhoogde hersendruk kan leiden tot klachten van:
- hoofdpijn,
- problemen met het zien (stuwingspapil),
- sufheid,
- duizeligheid,
- misselijkheid en braken,
- epileptische aanvallen
- een waterhoofd.
Vanwege de druk op de hersenen kán het leiden tot uitvalverschijnselen van armen en/ of benen en verstoorde coördinatie van bewegingen of spraakstoornissen. Niet altijd geeft een cyste klachten maar kan per toeval ontdekt worden op een scan die om een heel andere reden wordt gemaakt.
Meestal gaat het om arachnoïdale cysten die voor de geboorte aanwezig kunnen zijn en op elke leeftijd klachten kunnen geven, maar meestal voor het tiende levensjaar klachten geven. Het betreft vaker jongens dan meisjes. Ook kan een arachnoïdale cyste het gevolg zijn van een hersentumor, hersenvliesontsteking of subarachnoïdale bloeding.
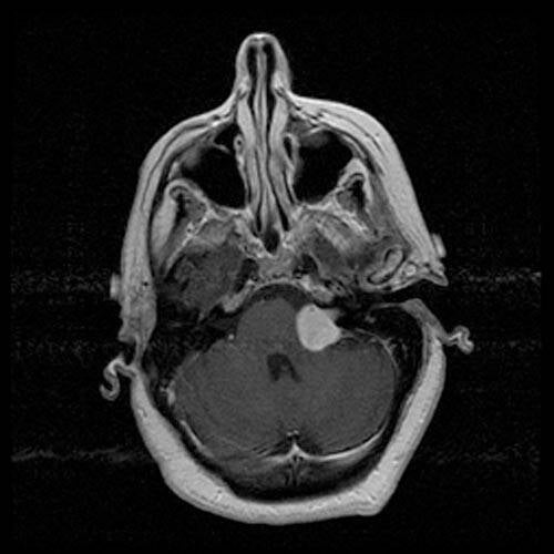
Brughoektumor (Vestibulair Schwannoom)
Een tumor van de omhulling (zenuwschede) van de gehoor- en/of de evenwichtszenuw heet een brughoektumor (vestibularis-schwannoom of acousticusneurinoom). Het is een goedaardige tumor die vernoemd is naar de plek in de schedel: de brughoek. De brughoek ligt achter in de schedel, in de schedelbasis en bevindt zich zowel links als rechts in de hoek tussen de kleine hersenen (het cerebellum) en een deel van de hersenstam; de pons.
Op de afbeelding is een eenzijdige brughoektumor te zien.
By RadsWiki - RadsWiki, CC BY-SA 3.0, https://commons.wikimedia.org/w/index.php?curid=3520114
De tumor ontstaat uit de zogenoemde cellen van Schwann. De Schwann-cel is een speciale vorm van een gliacel. Het vormt een omhulsel en een steuncel van de 8e hersenzenuw (nervus vestibulocochlearis) dat informatie over geluid en evenwicht (balans) van het binnenoor naar de hersenen brengt.
Schwann-cellen bestaan alleen in het perifere zenuwstelsel. In het centrale zenuwstelsel vervullen oligodendrocyten dezelfde functie.
De meeste mensen met een brughoektumor ervaren éénzijdig gehoorverlies en een gevoel van onzekerheid bij het lopen (evenwichtsstoornis). Als de brughoektumor zich aan beide kanten voordoet dan wordt dat beschouwd als het kenmerk en het belangrijkste criterium van neurofibromatose type II (NF2), een genetische aandoening.
Klachten van een brughoektumor kunnen variëren, afhankelijk of er druk ontstaat op omliggende zenuwbanen of hersenweefsel.
Niet altijd wil de groeisnelheid of grootte van de tumor iets zeggen over de ernst van de klachten:
- minder goed horen
- oorsuizen (tinnitus)
- problemen met het evenwicht (onzekerheid bij bewegen)
- hoofdpijn
- stoornissen in de mimiek van het gezicht (aangezichtsverlamming (Bellse parese) of spasmen) door druk op de zevende hersenzenuw (nervus facialis / aangezichtszenuw)
- niet goed kunnen sluiten van een oog
- hangende mondhoek
- verandering van smaak
- een doof gevoel in het gezicht (trigeminushypesthesie) door druk op de vijfde hersenzenuw (nervus trigeminus)
- aangezichtspijn (trigeminusneuralgie) door druk op de vijfde hersenzenuw (nervus trigeminus)
- in zeldzame situaties kan de tumor groot worden en een waterhoofd veroorzaken door een verstopping van de hersenvochtcirculatie. Hersenvocht wordt normaal gesproken permanent aangemaakt in de hersenholtes (ventrikels) en ververst en weer afgevoerd. Dat is een ernstige situatie. De volgende klachten kunnen zich dan voordoen:
- hoofdpijn
- sufheid
- braken
- slecht gaan zien
- in de zeldzame situatie dat de tumor zo groot wordt en tegen de hersenstam drukt is dat evenzeer een zeer ernstige situatie. Klachten kunnen dan betrekking hebben op belangrijke levensfuncties als hartslag, ademhaling en bloeddruk. Echter er treden al eerder klachten op van andere aard als de tumor groeit.
Er zijn in principe drie behandelopties die individueel bekeken moeten worden en afhankelijk zijn van verschillende persoonlijke factoren:
- afwachten en in principe éénmaal per jaar met een MRI-scan controleren (wait and scan)
- opereren (door het oor, boven het oor of achter het oor)
- stereotactische bestraling /'radiochirurgie'.
.
Meer info:
De commissie brughoektumor van Stichting Hoormij verzorgt voorlichting, belangenbehartiging en lotgenotencontact voor brughoektumorpatiënten.
Oligodendroglioom
Een oligodendroglioom is een zeldzame hersentumor. Het ontstaat in een speciaal type cellen van de hersenen en het ruggenmerg (oligodendrocyten). Deze cellen produceren het geleidingslaagje dat om zenuwvezels zit (myelineschede).
- Laaggradige tumoren (graad 2). Er is meestal een langzame groei en de tumor zaait niet snel uit. Klachten ontstaan vaak pas laat.
- Hooggradige tumoren (graad 3 en 4). Deze oligodendrogliomen zijn sterk kwaadaardig. Er is sprake van snelle tumorgroei en de tumor zaait snel uit.
Deze tumoren worden ook anaplastische oligodendrogliomen genoemd.
Goede info zie: https://stophersentumoren.nl/Hersentumoren/oligodendroglioom
Bronnen:
[https://kinderneurologie.eu/]. (z.d.). Geraadpleegd van https://kinderneurologie.eu/
Epilepsie Vereniging Nederland - Epilepsie Vereniging Nederland. (z.d.). Geraadpleegd op 29 januari 2016, van http://www.epilepsievereniging.nl/
Eyskens, E., Feenstra, L., Meinders, A. E., Vandenbroucke, J. P., & Van Weel, C. (1997). Codex Medicus (10e ed.). Maarssen, Nederland: Elsevier Gezondheidszorg.
Hersenletsel uitleg team|Hersenletsel-uitleg.nl. (z.d.) https://www.hersenletsel-uitleg.nl/
Home - Hersentumor. (z.d.). Geraadpleegd op 29 januari 2016, van http://hersentumor.nl/
Jenny Palm
IKNL. (z.d.). Geraadpleegd op 29 januari 2016, van https://www.iknl.nl/over-iknl/iknl
Kanker.nl - we zijn er voor je | Kanker.nl. (z.d.). Geraadpleegd op 29 januari 2016, van https://www.kanker.nl/
Kuks, J. B. M., Snoek, J. W., Oosterhuis, H. G. J. H., & Fock, J. M. (2003). Klinische neurologie (15e ed.). Houten, Nederland: Bohn Stafleu van Loghum.
NVN - Nederlandse Vereniging voor Neurologie :: Home. (z.d.). Geraadpleegd op 29 januari 2016, van https://www.neurologie.nl/
NVvN – Nederlandse Vereniging voor Neurochirurgie. (z.d.). Geraadpleegd op 29 januari 2016, van http://www.nvvn.org/
Ziekenhuis.nl - met o.a. een overzicht van ziekenhuizen en behandelingen. (z.d.). Geraadpleegd op 29 januari 2016, van https://www.ziekenhuis.nl/
![]()