Waterscheidingsinfarct
Een waterscheidingsinfarct ontstaat als in het grensgebied van twee verschillende stroomgebieden (verzorgingsgebieden) van de grote hersenslagaders, onvoldoende bloed is gestroomd. Het is dus een plaatselijke afsterving van hersencellen in de grensgebieden tussen twee stroomgebieden in. Daar bij de kleinste uiteinden van de bloedvaten is het kwetsbaar voor een vermindering van de doorbloeding.
De andere naam voor een herseninfarct is ischaemisch hersenletsel.
Ischaemie of ischemie betekent onvoldoende doorbloeding van organen of weefsels, met als gevolg een tekort aan zuurstof en voedingsstoffen, waardoor er weefsel af kan sterven. Er kan een diffuus zenuwcelverlies zijn in de hersenschors (cortex).
Oorzaken:
- sterke bloeddrukdaling (hypotensie), dit kan allerlei oorzaken hebben van ernstige uitdroging tot hevig bloeden.
- door hevig bloedverlies
- ernstige vernauwing/afsluiting van de voorste en middelste of de middelste en achterste hersenbloedvaten
- micro-embolieën; een embolie (Grieks = ἔμβολος) is de afsluiting van een slagader of een ader
- hartinfarct
- ernstige herseninfecties
- sepsis: Dit is een ernstige infectie die zich in de bloedbaan verspreidt. Sepsis veroorzaakt een extreme ontstekingsreactie die ervoor kan zorgen dat de bloeddruk dramatisch daalt.
- bij een langzaam progressief beeld is de oorzaak onzeker.
In de meeste gevallen is een sterke bloeddrukdaling de oorzaak. De meest zeldzame vorm wordt veroorzaakt door een bloeding.
De grenszones van de stroomgebieden van de volgende bloedvaten kunnen betrokken zijn:
- de centrale halsslagader (arteria carotis)
- de voorste hersenslagader (ACA)
- de middelste hersenslagader (arteria cerebri media (ACM soms MCA genoemd) ook in de subcorticale gebieden
- de achterste hersenslagader (PCA)
- bloedvaten in de kleine hersenen (cerebellaire aderen)
- de kleine slagaders in de basale ganglia.
Zie onze speciale pagina over de hersenbloedvaten voor uitleg over deze bloedvaten.
Op de grensgebieden van rood en geel, of rood en blauw kan dan een waterscheidingsinfarct ontstaan.
Rood= het gebied dat van bloed wordt voorzien door de middelste hersenslagader middle cerebral artery (ACM of MCA).
Geel = het gebied dat van bloed wordt voorzien door de voorste hersenslagader anterior cerebral artery (ACA).
Blauw = het gebied dat van bloed wordt voorzien door de achterste hersenslagader. posterior cerebral artery (PCA).
Van de buitenkant
Dwarsdoorsnede
see footnotes / zie bron
Vaak voorkomend of zeldzaam?
- Bij 10% van alle herseninfarcten is er sprake van een waterscheidingsinfarct.
- De voorste en middelste cerebrale slagaders zijn het vaakst betrokken bij een waterscheidingsinfarct, waardoor de velden tussen deze gebieden het meest te lijden hebben van een doorbloedingsstoornis wat tot een infarct leidt.
- Een waterscheidingsinfarct veroorzaakt door bloedverlies komt het minst vaak voor.
Klachten
De klachten die op kunnen treden zijn afhankelijk van het getroffen hersengebied. Maar omdat het om grensgebieden gaat (weefsels die grenzen aan de weefsels die door de belangrijkste hersenslagaders worden bediend), zijn de symptomen vaak milder en worden ze in eerste instantie gemakkelijk over het hoofd gezien.
Voorbijgaande symptomen bij aanvang komen bij 27% van de mensen met dit type herseninfarct voor. De doorbloeding hapert als het ware en daardoor kunnen klachten komen en gaan.
De symptomen kunnen o.a. bestaan uit gevoelloosheid, verminderd gevoel en verhoogde reflexen (hyperreflexie). Zwakte of verlamming (verlies van motorische controle) aan één kant, het hoofd naar één kant laten hangen, afhangend gezicht, epileptische aanvallen, onduidelijke spraak, minder goed kunnen zien aan één gezichtsveld en andere neurologische problemen kunnen ook voorkomen.
Waterscheidingsinfarcten worden geclassificeerd als:
- Corticale (externe) grenszones-infarct
- tussen ACA (geel op bovenstaande afbeelding), ACM (rood)- en PCA -gebieden (blauw)
- wiggen tussen corticaal en subcorticaal infarct of corticale laminaire necrose
(corticale laminaire necrose of pseudolaminaire necrose, is afsterven (necrose) van neuronen in de hersenschors (cortex) van de hersenen in situaties waarin de toevoer van zuurstof en glucose onvoldoende is. Dit komt vaak voor bij een hartstilstand, zuurstoftekort in het weefsel (hypoxie) en te laag bloedsuiker (hypoglykemie).
- tussen ACA (geel op bovenstaande afbeelding), ACM (rood)- en PCA -gebieden (blauw)
- Diep (inwendig) infarct van randzones:
- tussen ACA (geel op bovenstaande afbeelding), ACM (rood)- en PCA-gebieden (blauw)
- medullaire, lenticulostriate, terugkerende slagader van Heubner en anterior choroïdale slagaders.
- tussen ACA (geel op bovenstaande afbeelding), ACM (rood)- en PCA-gebieden (blauw)
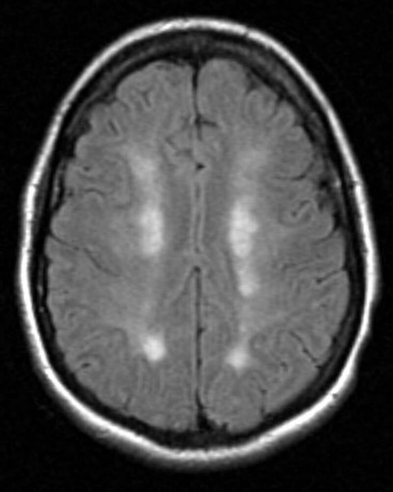
Typisch patroon op de scans
Op de scans is vaak een 'rozenkrans'-patroon te herkennen; een langwerpig patroon. Zie onderstaande afbeeldingen:
Case courtesy of A.Prof Frank Gaillard, Radiopaedia.org. From the case rID: 2626 and the case rID: 5199
Citaten van mensen met een waterscheidingsinfarct
Gerard stuurde ons een citaat:
Na een operatie (aorta) is een kleine complicatie gebeurd bij de zuurstoftoevoer. Ziekenhuis verklaarde dit als volgt: waterscheiding. In begin kon ik niet meer. Na 2.5 jaar kan ik weer bijna alles, maar heb nog wel resten die verbeterd zouden kunnen worden. Een dronken gevoel. Instabiel. Dat wordt wel steeds beter. Dronken gevoel en minder goed zien door trillende ogen Moet erg oppassen met eten. Zeer zoet, of zout, daar kan ik een black-out van krijgen. Veel rust houden. Emoties ineens belangrijk. Wanneer iemand mij een vrolijke of trieste melding maakt (overdreven), dan heeft dat het zelfde effect als verkeerde dingen eten.
Annelies schreef dit aan ons:
Tijdens het herseninfarct te laat door de huisarts erkend. Groot weefselverlies, ik noem het zwarte gat. Balans in mijn beweging is sterk verminderd en ik kan moeilijk dingen loslaten.
Ervaringsverhalen of citaten gezocht over een waterscheidingsinfarct.
Schrijf óf je hele ervaringsverhaal óf alleen belangrijke zinnen, die we als anonieme citaten zullen plaatsen, met dank.
Typ je verhaal of je belangrijke zinnen in het "Bericht"- vlak. We zullen proberen om binnen een week contact met je op te nemen. Dank je wel!
Bronnen:
Adams J.H., Brierley J.B., Connor R.C.J., Treip C: The effects of systemic hypotension upon the human brain. Clinical and neuropathologicaJ observations in 11 cases. Brain 89: 235-268, 1966
Brierley J.B., Excell B.J.: The effects of profound systemic hypotension upon the brain of m. rhesus. Physiological and pathological observations. Brain 89: 269-298, 1966
Castaigne P, Lhermitte F, Cambier J, Gautier JC- Obstruction bilaterale des carotides internes. Etude anatomo-clinique d'une observation avec survie prolonged. Presse Med 71: 757-760, 1963
Prof Gaillard, Frank, Radiopaedia.org. From the case rID: 2626 and the case rID: 5199
Hersenletsel-uitleg ~ z.d. team Hersenletsel-uitleg
Liberman AL, Zandieh A, Loomis C, Raser-Schramm JM, et al. Symptomatic Carotid Occlusion Is Frequently Associated With Microembolization. Stroke. 2017;48(2):394–399. doi: 10.1161/STROKEAHA.116.015375. [PMC free article] [PubMed] [CrossRef] [Google Scholar]
Lindenberg R., Spatz H., : Uber die Tromboendarteritis obliterans der Himgefasse (cerebrale Form der V. Winiwarter-Buergerschen Krankheit). Virchows Arch path Anat 305: 531-557, 1939
McKibbin D.W., Bullkley B.H., Green W.R., Gon W.L., Hutchins G.M. Fatal cerebral atheromatous embolization after cardiac bypass Journal of Thorac. Cardiovasc. Surgery 71: 741-745, 1976
Price D.L., Harris J. Cholesterol emboli in cerebral arteries as a complication of retrograde aortic perfusion during cardiac surgery. Neurology (Minneap.) 20: 1209-1214, 1970
Romanul F.C.A., Abramowicz A.,: Changes in the brain and pial vessels in arterial border zones. Arch Neurol 11: 40-65, 1964
Spatz H.: Uber die Beteihgung des Gehirns bei der V. WiniwarterBuergerschen Krankheit (Tromboendangiitis obliterans). Dtsch Z Nervenheilk 136: 86-132, 1935
Stehbens W.E.: Pathology of the cerebral blood vessels. C B Mosby Company, St. Louis, 1972
Torvik A., Jörgensen L.: Thrombotic and embolic occlusions of the carotid arteries in an autopsy series. Part 2. Cerebral lesions and clinical course. J Neurol Sci 3: 410-432, 1966
Torvik A., Skullerud K.: Watershed infarcts in the brain caused by microemboli. Clin Neuropath 1: 99-105, 1982
Torvik A. The pathogenesis of watershed infarct in the brain. Stroke 1984; 15: 221-3.
Zulch K.J.: Die Pathogenese von Massenblutung und Erweichung unter besonderer BerOcksichtigung khnischer Gesichtspunkte. Acta Neurochir Suppl 7: 51-117, 1961
Pictures/afbeeldingen
Brain to the left :This image is a derivative work of the following images: Image:Brain_stem_normal_human.svg licensed with Cc-by-2.5 + 2007-12-03T20:04:35Z AnonMoos 518x600 (78663 Bytes) == Summary == {{Information |Description = Brain and brainstem normal human diagram |Source = Trivially modified version of [[:Image:Skull and brain normal human.svg]] |Date = December 23, 2006 |Author = Patrick J. Lynch, med
Brain to the right: Cortical areas and their arterial blood supply
derivative work: Frank Gaillard (talk) Brain_human_sagittal_section.svg: Patrick J. Lynch, medical illustrator - Brain_human_sagittal_section.svg
https://upload.wikimedia.org/wikipedia/commons/c/c0/Cerebral_vascular_territories_midline.svg