Lacunair infarct
Woordverklaring van lacunair infarct
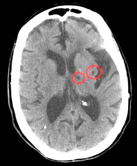
Het woord 'lacunair' verwijst naar de kleine beschadigingen die een doorsnede hebben van 1 tot 15 millimeter die 'lacunes' wordt genoemd. Het lijken kleine gaatjes in de diepere hersengebieden, bijvoorbeeld de gebieden van de hersenstam of van de basale ganglia. Ze worden ook vaak gezien in de vezelbaan (capsula interna) van witte stof die onderaan in het midden van beide hersenhelften van de grote hersenen loopt.
Het woord 'infarct' wijst naar het probleem dat het bloedvat verstopt is geraakt en dat het bloedvat geen zuurstof en voeding aan het hersengebied kan afgeven.
In het geval van een lacunair infarct gaat het meestal om veranderingen van de vaatwand van de kleine dieper gelegen bloedvaatjes; zijtakken van de hersenbloedvaten waardoor bloedvaatjes verstopt raken. Meestal wordt dat veroorzaakt door hoge bloeddruk die al langere tijd bestaat. Bij jongere mensen met een lacunair infarct kan niet altijd een oorzaak worden gevonden. Een kwart van de herseninfarcten is een lacunair infarct.
Lacunaire infarcten kunnen ook een gevolg zijn van Small Vessel Disease (SVD). Zie onze speciale pagina over dit ziektebeeld.
Cognitieve en emotionele gevolgen
In het algemeen hebben mensen met een lacunair infarct een betere prognose dan mensen met grotere infarcten. Dat wil zeggen dat de kans op een zelfstandig leven groter is. Wel bleek er kans op 'parkinsonisme', dat wil zeggen op de ziekte van Parkinson gelijkende klachten.
Dat wil niet zeggen dat er geen onzichtbare restverschijnselen zijn. Met name de onzichtbare gevolgen worden nog vaak onderschat door de omgeving.
De laatste jaren is er meer onderzoek gedaan naar de cognitieve en emotionele gevolgen van mensen met een lacunair infarct en het blijkt dat met name mensen problemen ervaren met complexe taken en multitasken, rekenen en het verdelen van de aandacht, moeite met het onthouden van nieuwe informatie en met vertraagde informatieverwerking. Mensen met een lacunair infarct bleken ook in de emoties veranderingen te hebben, sneller in tranen, soms depressief en sneller geïrriteerd. Ook bleken zij vaker slechter te slapen.
We pleiten voor een goede revalidatie, maar ook voor oog houden op cognitieve gevolgen. Hoe sneller mensen getest worden op cognitieve schade hoe sneller des mensen zich mentaal kunnen instellen op deze veranderingen in het leven.
Kenmerken van een lacunair infarct
De aanwezigheid van een zogenaamd 'lacunair syndroom' bleek bij 90% van de mensen met een lacunair infarct al bij een neurologisch onderzoek een juiste klinische aanwijzing te zijn van het bestaan van dit infarct. Er bleek geen uitval van een gezichtsveldhelft te zijn (hemianopsie) of een blikafwijking, geen afasie, geen hemispatieel neglect of andere functiestoornissen maar wel combinaties van enkelzijdige gevoels- en beweging-uitvalverschijnselen. De uitvalverschijnselen bleken licht tot matig in ernst.
- Pure Motor Syndrome (PMS). Eénzijdige zuiver motorische uitval verschijnselen van twee van de drie volgende drie gebieden: gelaat, gehele been of gehele arm. Klachten van verminderd gevoel kunnen aanwezig zijn maar er zijn geen zintuiglijke stoornissen. Problemen met slikken (dysfagie) en moeite met het uitspreken van woorden kunnen aanwezig zijn (dysartrie). PMS komt bij 33 tot 50% van de lacunaire infarcten voor.
- Pure Sensory Syndrom (PSS). Eénzijdige niet altijd objectiveerbare gevoelstoornis in twee van de drie gebieden: gelaat, gehele arm of gehele been.
- Sensorimotor syndrome (SMS). Objectiveerbare gevoelsstoornis aan de zijde waar het letsel de hersenhelft heeft geraakt, met twee van de drie gebieden: gelaat, gehele arm of gehele been.
- Ataxic Hemiparesis/Dysarthria-Clumsy Hand Syndrome (AH/DCHS) onhandige spraak (dysartrie) en onhandige motoriek, onhandige coördinatie (ataxie) aan de zijde waar het letsel de hersenhelft heeft geraakt. Deze symptomen kunnen niet verklaard worden alsof ze uit de kleine hersenen komen met een passende spierzwakte of onvolledige verlamming (parese).
Vanwege het feit dat een lacunair infarct soms niet herkend wordt met een FAST test ( FACE-ARM-SPEECH-TIME) of "mond-spraak-arm = beroerte alarm", hebben we een oproep gedaan voor atypische situaties. Hieronder enkele voorbeelden. Lees ook de pagina atypische klachten van CVA/Mijn beroerte werd niet herkend.
Lees het eerste ervaringsverhaal van iemand die afwijkende klachten had onder de afbeelding.

Ervaringsverhaal dat lacunair infarct niet opgemerkt werd met de FAST test (Face Arm Speech Time):
"Ik heb 2 maanden geleden een klein lacunair infarct gehad in de thalamus links.
Ik werd 's ochtends wakker met :
- een tintelend gezicht van wenkbrauw tot kin,
- tintelende tong,
- verdoofde tanden en lippen,
- verdoofde tintelende vingers.
Dit allemaal precies rechts.
Toen ik uit bed kwam merkte ik dat:
- zakte ik wat door mijn rechterbeen,
- mijn rechterarm een beetje ongecontroleerd was
- en dat ik enorm duizelig was.
Direct naar de huisartsenpraktijk gegaan, die in mijn appartementencomplex huist. De huisarts deed diverse tests waaruit zij concludeerde dat het geen TIA kon zijn (want geen krachtsverlies, geen afasie etc.) maar ze vertrouwde het niet en stuurde me naar de neuroloog van de spoedeisende hulp in het ziekenhuis. Die deed dezelfde tests en trok ook de conclusie dat het geen TIA kon zijn, maar was bang dat het beginnende MS was.
Er werd een MRI-scan ingepland die 3 weken later plaatsvond. De uitslag een week later, was dat het wel degelijk een CVA was geweest.
Lacunair infarct op de thalamus links, precies op een plekje waar ze nog niet veel van weten maar wel dat dit het gevoel in je mond, lippen, tong, tanden en vingers beheerst.
Mijn klachten nu zijn nog steeds dezelfde:
- Ik moet me flink concentreren om mijn rechtervingers te kunnen bewegen,
- mijn rechterarm vanuit mijn schouders is nog steeds iets ongecontroleerd,
- zo ook mijn rechterbeen,
- de concentratie maakt me duizelig en vermoeid
- en dan kom ik ook slecht uit mijn woorden.
Met mijn uitspraak is niets mis, mensen merken nauwelijks wat aan me, maar het zoeken naar de juiste woorden vergt moeite. Lippen, tong en tanden voelen nog steeds alsof een tandartsverdoving aan het uitwerken is en álles smaakt bitter. Dit infarct is hoogstwaarschijnlijk ontstaan door een jarenlange hoge bloeddruk (als je zelden wat mankeert wordt die zelden opgemeten).
Ik schrijf dit omdat ik hoop dat men bij dit soort klachten toch ook aan een TIA/CVA denkt. Ik heb heel veel geluk gehad, in de 4 weken na vaststelling van het infarct had het me, zonder de medicatie die ik nu heb, nog een keer kunnen overkomen".
Ervaringsverhaal twee:
Petra
Bronnen:
Lacunaire infarcten van de hersenen - oorzaken, symptomen, diagnose en behandeling. (2017). Geraadpleegd op 12 december 2017, van http://nl.medicalformat.com/31974-lacunaire-infarcten-van-de-hersenen-oorzaken-symptomen-diagnose-en-behandeling.html
AMARENCO, P., & HAUW, J. (1990). CEREBELLAR INFARCTION IN THE TERRITORY OF THE ANTERIOR AND INFERIOR CEREBELLAR ARTERY. Brain, 113(1), 139–155. https://doi.org/10.1093/brain/113.1.139
Bamford, J., Sandercock, P., Jones, L., & Warlow, C. (1987). The natural history of lacunar infarction: the Oxfordshire Community Stroke Project.. Stroke, 18(3), 545–551. https://doi.org/10.1161/01.str.18.3.545
Chancellor, A. M., Glasgow, G. L., Ockelford, P. A., Johns, A., & Smith, J. (1989). Etiology, prognosis, and hemostatic function after cerebral infarction in young adults.. Stroke, 20(4), 477–482. https://doi.org/10.1161/01.str.20.4.477
Eyskens, E., Feenstra, L., Meinders, A. E., Vandenbroucke, J. P., & Van Weel, C. (1997). Codex Medicus (10e ed.). Maarssen, Nederland: Elsevier Gezondheidszorg.
Kappelle, L. J., Koudstaal, P. J., Van Gijn, J., Ramos, L. M., & Keunen, J. E. (1988, 19 september). Carotid angiography in patients with lacunar infarction. A prospective study. - PubMed - NCBI. Geraadpleegd op 12 december 2018, van https://www.ncbi.nlm.nih.gov/pubmed/3413805
Kappelle, L. J., Hijdra, A., & Van Gijn, J. (1991, 23 december). Hét CVA bestaat niet | Nederlands Tijdschrift voor Geneeskunde. Geraadpleegd op 12 december 2016, van https://www.ntvg.nl/artikelen/h%c3%a9t-cva-bestaat-niet/volledig
Kappelle, L. J., Van Latum, J. C., Koudstaal, P. J., & Van Gijn, J. (1991, februari). Transient ischaemic attacks and small-vessel disease. Dutch TIA Study Group. - PubMed - NCBI. Geraadpleegd op 12 december 2016, van https://www.ncbi.nlm.nih.gov/pubmed/1671241
Kappelle, L. J., Willemse, J., Ramos, L. M., & Van Gijn, J. (1989). Ischaemic stroke in the basal ganglia and internal capsule in childhood. Brain and Development, 11(5), 283–292. https://doi.org/10.1016/s0387-7604(89)80054-3
Kuks, J. B. M., Snoek, J. W., Oosterhuis, H. G. J. H., & Fock, J. M. (2003). Klinische neurologie (15e ed.). Houten, Nederland: Bohn Stafleu van Loghum.
Schievink, W. I., & Limburg, M. (1990, 23 september). Dissectie van cervicale arteriën als oorzaak van hersenischemie of uitval van hersenzenuwen | Nederlands Tijdschrift voor Geneeskunde. Geraadpleegd op 12 december 2016, van https://www.ntvg.nl/artikelen/dissectie-van-cervicale-arteri%c3%abn-als-oorzaak-van-hersenischemie-uitval-van-hersenzenuwen/volledig
Torvik, A. (1984). The pathogenesis of watershed infarcts in the brain.. Stroke, 15(2), 221–223. https://doi.org/10.1161/01.str.15.2.221
Van Zandvoort, M. (2002). De cognitieve gevolgen van een lacunair infarct. Neuropraxis, 6(5), 102–108. https://doi.org/10.1007/bf03071025
Weiller, C., Ringelstein, E. B., Reiche, W., Thron, A., & Buell, U. (1990). The Large Striatocapsular Infarct. Archives of Neurology, 47(10), 1085. https://doi.org/10.1001/archneur.1990.00530100051013